Hírek
2020. December 15. 05:00, kedd | Belföld
Elítélték az alvó ismerőse házát felgyújtó férfit
Kilenc év fegyházbüntetéssel sújtotta a Szegedi Törvényszék hétfőn azt a férfit, aki 2018 májusában féltékenységből rágyújtotta az egykori szatymazi bakterházat alvó ismerősére.
2019. November 21. 09:59, csütörtök | Belföld
Nők működtettek egy csongrádi droglabort, elkapták őket
Három nőt és egy férfit gyanúsítottként kihallgattak, majd őrizetbe vettek a csongrádi rendőrök egy droglabor felszámolását követően – közölte a rendőrség a honlapján.
2019. Szeptember 17. 13:08, kedd | Belföld
Féltékenységből az ismerősére gyújtotta a házat, vádat emeltek ellene
Vádat emeltek azzal a férfival szemben, aki múlt év májusában féltékenységből rágyújtotta az egykori szatymazi bakterházat ismerős nőjére – tájékoztatta a Csongrád Megyei Főügyészség kedden az MTI-t.
2018. Március 10. 09:38, szombat | Belföld
Halálos vonatgázolás történt Szatymaznál
Pótlóbusz szállítja az utasokat szombaton délelőtt Szatymaz és Kistelek között, ahol korábban baleset történt - tájékoztatta az MTI-t a Mávinform.
2017. December 10. 18:25, vasárnap | Belföld
Halálra gázoltak egy nőt Szatymazon
Halálra gázolt egy nőt egy személyautó vasárnap este Szatymazon - tájékoztatta a Csongrád Megyei Rendőr-főkapitányság szóvivője az MTI-t.
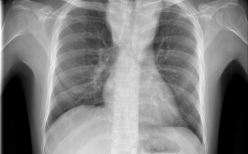
2016. Május 02. 13:56, hétfő | Belföld
Terjed a tbc Szatymazon?
Hétfő reggel óta tbc-tesztet végeznek el a gyerekeken egy szatymazi általános iskolában, ahol egy hete fertőző tüdőbetegségben halt meg egy korábban ott dolgozó nő - közölték az M1 aktuális csatorna déli Híradójában.
